
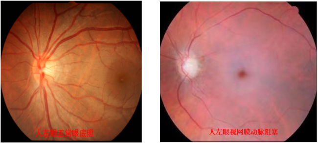
很多人都听说过“脑中风”,但对“眼中风”可能不太熟悉。近日,一则“高中女生眼中风导致永久失明”的新闻登上热搜。江苏一名高龄女高中生突然失去了左眼。他错过了就医的最佳时机,最终失明。 “眼中风”是一种什么样的疾病?发生这种情况后如何帮助自己、治疗自己呢?什么是“眼中风”? “眼中风”医学上称为视网膜中央动脉阻塞,是由于视网膜中央动脉阻塞而引起的视网膜慢性缺血性疾病。这种眼部急症可能会对患者的视功能造成严重损害,甚至完全丧失。视网膜就像相机的底片。这会将进入眼睛的光转换成电信号,通过视神经发送到大脑,这样我们就可以“看到”周围的事物。视网膜对局部缺氧极为敏感。如果新鲜的动脉血不能进入并滋养视网膜,就会出现无痛、突然的视力丧失或丧失,即发生“眼中风”。需要注意的是,有些人在“眼中风”发生前会出现先兆症状:一只眼睛突然、短暂发黑,几秒钟或几分钟后视力会自行恢复。很多人误以为是疲劳造成的,睡一觉就可以了。然而,他们不知道,很容易错过黄金治疗期。 “眼中风”后如何自救、治疗? “眼中风”的特点是起病急、症状严重、不可逆,黄金治疗期是发病后90分钟内,当视网膜中央动脉缺血坏死,错过了最佳治疗时机,视力恢复的可能性就很小。“眼中风”后如何自救?首先要保持冷静,赶紧去医院就诊。急诊科尽快处理。如果家里有急救药硝酸甘油,可以舌下含服以扩张视网膜中央动脉。
12全文2页下一页